Immagini
|
|
Immagini del trattamento con TTSV-GEL
|
Una struttura dopo il trattatamento con il ttsv-gel e dopo la cottura
dell'opaco.
|

Clicca sull'immagine per ingrandire |

Clicca sull'immagine per ingrandire |

Clicca sull'immagine per ingrandire |

Clicca sull'immagine per ingrandire |
Adesione della ceramica anche senza
ossidi
Anche senza ossidi c'è una ottima aderenza del metallo con la ceramica.La
frattura era stata creata con il martelletto dopo una cementazione provvisoria.
|
 Clicca sull'immagine per ingrandire |

Clicca sull'immagine per ingrandire |

Clicca sull'immagine per ingrandire |
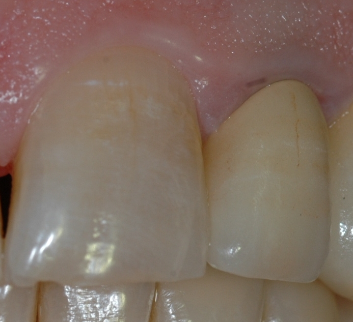
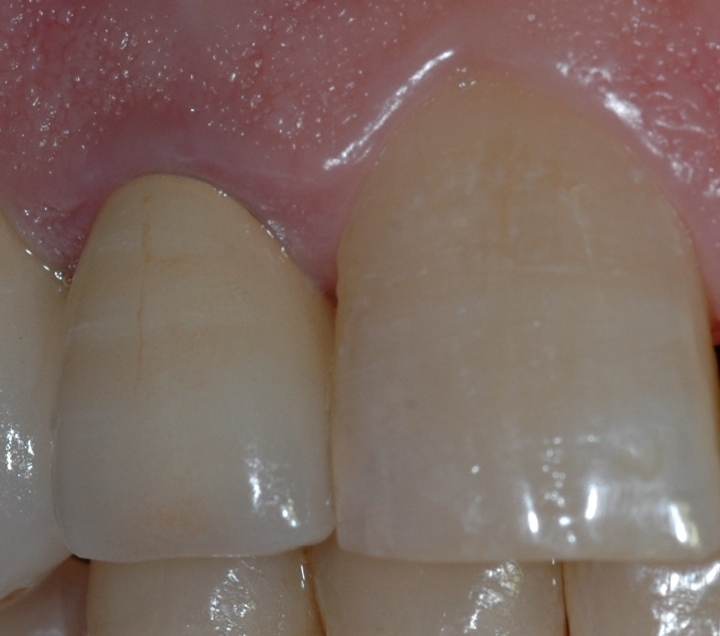
Vantaggi estetici di ttsv-gel
Nonostante gli incisivi laterali sono con preparazioni sopragengivali
e affiora il dente naturale, non si vedono righe nere dovute agli ossidi.
Si può notare come in corrispondenza dei margini di chiusura non
si riscontra dissociazione ionica. Anche a distanza di tempo risulta invisibile
il bordo con la corona in oro-ceramica.
|
|

Clicca sull'immagine per ingrandire |

Clicca sull'immagine per ingrandire |

Clicca sull'immagine per ingrandire |

Clicca sull'immagine per ingrandire: una freccia evidenzia il dente con
la corona in oro-ceramica |